Baca berita tanpa iklan. Gabung Kompas.com+

Perubahan Iklim Picu Penyebaran Amoeba Berbahaya di Air Hangat

Kompas.com, 27 Januari 2026, 14:11 WIB
Add on Google
Monika Novena,
Ni Nyoman Wira Widyanti

Tim Redaksi

KOMPAS.com - Saat melihat air yang sepintas tampak tenang dan jernih, jangan buru-buru menyentuh atau bahkan memanfaatkannya untuk kehidupan sehari-hari. Bisa jadi ada free-living amoebas (amoeba yang hidup bebas) di air tersebut.

Dalam studi yang terbit di jurnal Biocontaminant, para peneliti mengingatkan bahwa organisme kecil tersebut bisa menimbulkan risiko serius terhadap kesehatan. Apalagi perubahan iklim memudahkan amoeba ini untuk tumbuh dan menyebar. 

Baca juga:

"Meskipun sering diabaikan dalam penelitian biosekuriti konvensional, protozoa ini dapat bertahan hidup dalam kondisi lingkungan ekstrem, termasuk pH tinggi, suhu tinggi, dan konsentrasi klorin tinggi sehingga membuatnya resisten terhadap pendekatan pengolahan air standar," tulis para peneliti, dilansir dari laman Maxpress, Selasa (27/1/2026).

Perubahan iklim bikin amoeba berkembang, bisa berbahaya

Amoeba merupakan organisme kecil bersel tunggal yang bisa ditemukan di tanah, danau, sungai, dan sistem air keran. Amoeba yang hidup bebas pun bisa ditemukan di seluruh dunia. 

Namun, sistem pengelolaan air yang buruk, kenaikan suhu, dan metode pengujian yang lemah memungkinkan organisme-organisme ini tumbuh tanpa disadari.

Banyak negara tidak memantau mikroba ini secara ketat, yang mana membuat deteksi dini menjadi sulit dilakukan.

Ada amoeba yang mematikan, bisa menyerang otak

Meningoensefalitis amoeba disebabkan oleh Naegleria fowleri. Air yang terlihat jernih dan tenang belum tentu aman. Perubahan iklim membuat amoeba di air tumbuh dan meluas, termasuk amoeba pemakan otak.Wikimedia Commons Meningoensefalitis amoeba disebabkan oleh Naegleria fowleri. Air yang terlihat jernih dan tenang belum tentu aman. Perubahan iklim membuat amoeba di air tumbuh dan meluas, termasuk amoeba pemakan otak.

Sebagian besar jenis amoeba tidak mematikan, tapi ada beberapa yang harus diperhatikan, dilansir dari Earth.com

Dalam studi tersebut, disebutkan beberapa amoeba hidup bebas yang harus diwaspadai yaitu Naegleria fowleri and Acanthamoeba spp.

Naegleria fowleri, misalnya, dapat menyebabkan penyakit parah. Amoeba ini sering disebut sebagai amoeba pemakan otak.

Naegleria fowleri dapat menyebabkan infeksi otak yang langka ketika air yang terkontaminasi masuk ke hidung. Berenang, menyelam, atau menggunakan air yang tidak bersih untuk membersihkan hidung meningkatkan risikonya.

Setelah infeksi dimulai, kemungkinan untuk bertahan hidup menjadi sangat kecil. Meskipun kasusnya jarang, hasil yang fatal menimbulkan kekhawatiran serius di kalangan ahli kesehatan.

Amoeba yang hidup bebas bertahan hidup di air hangat, menjadikan peningkatan suhu global sebagai faktor risiko penting.

Cuaca yang lebih panas memungkinkan organisme ini untuk menyebar ke area baru di mana sebelumnya kondisi yang lebih dingin mengendalikan pertumbuhannya.

"Yang membuat organisme ini sangat berbahaya adalah kemampuannya untuk bertahan hidup dalam kondisi yang membunuh banyak mikroba lain," kata penulis dan peneliti di Universitas Sun Yat-sen, Longfei Shu.

"Mereka dapat menolerir suhu tinggi, disinfektan kuat seperti klorin, dan bahkan hidup di dalam sistem distribusi air yang dianggap aman oleh masyarakat," imbuh dia. 

Baca juga:

Pengolahan air dengan klorin tak langsung membasmi amoeba

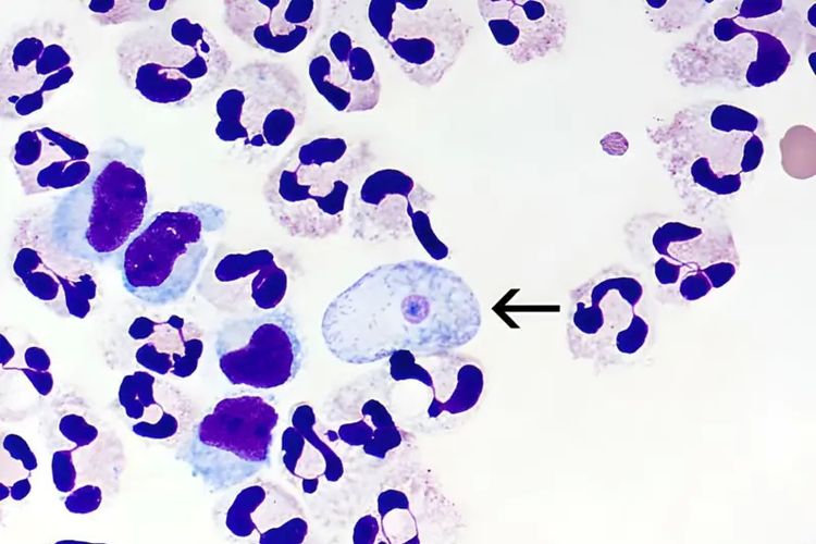
Sitoplasma cairan serebrospinal dengan Naegleria fowleri yang diwarnai (tanda panah). Air yang terlihat jernih dan tenang belum tentu aman. Perubahan iklim membuat amoeba di air tumbuh dan meluas, termasuk amoeba pemakan otak.GETTY IMAGES via BBC INDONESIA Sitoplasma cairan serebrospinal dengan Naegleria fowleri yang diwarnai (tanda panah). Air yang terlihat jernih dan tenang belum tentu aman. Perubahan iklim membuat amoeba di air tumbuh dan meluas, termasuk amoeba pemakan otak.

Sistem pengolahan air biasanya menggunakan klorin untuk membunuh kuman yang dapat membuat orang sakit. Metode ini bekerja dengan baik untuk banyak bakteri dan virus, tapi amoeba yang hidup bebas dapat bertahan hidup bahkan setelah pengolahan klorin.

Karena organisme ini tetap berada di dalam sistem air, orang mungkin tetap terpapar tanpa menyadarinya. Air dapat terlihat bersih, berbau normal, dan rasanya enak, tapi tetap mengandung mikroba berbahaya.

Amoeba yang hidup bebas juga menciptakan masalah serius lainnya. Organisme ini dapat melindungi mikroba berbahaya lainnya di dalam sel mereka.

Mikroba yang bertahan hidup di dalam amoeba beradaptasi dan menjadi lebih sulit dibunuh. Hal ini makin meningkatkan risiko jangka panjang bagi kesehatan masyarakat dan perawatan medis.

Kenaikan suhu meningkatkan risiko

Air yang terlihat jernih dan tenang belum tentu aman. Perubahan iklim membuat amoeba di air tumbuh dan meluas, termasuk amoeba pemakan otak.PEXELS/PIXABAY Air yang terlihat jernih dan tenang belum tentu aman. Perubahan iklim membuat amoeba di air tumbuh dan meluas, termasuk amoeba pemakan otak.

Perubahan iklim meningkatkan suhu air di seluruh dunia. Air hangat mendukung pertumbuhan amoeba yang menyukai panas.

Seiring meningkatnya suhu global, para ahli memperkirakan penyebaran yang lebih luas dan tingkat paparan yang lebih tinggi kecuali metode pencegahan yang lebih kuat segera dimulai.

Danau, kolam renang, dan taman air menciptakan kondisi ideal untuk paparan, terutama selama gelombang panas. Wilayah yang sebelumnya tidak pernah menghadapi masalah ini mungkin saat ini mengalami infeksi baru.

Baca juga:

Para peneliti menyerukan strategi One Health. Pendekatan ini menghubungkan kesehatan manusia, ilmu lingkungan, dan pengelolaan air menjadi satu upaya terkoordinasi.

Sistem pemantauan yang lebih baik dapat membantu melacak amoeba sebelum infeksi terjadi.

Alat diagnostik yang lebih baik dapat mendukung deteksi yang lebih cepat pada pasien dan pasokan air.

Metode pengolahan air yang baik juga dapat mengurangi risiko. Kerja sama yang kuat antara ilmuwan, petugas kesehatan, dan otoritas air tetap penting.

"Amoeba bukan hanya masalah medis atau masalah lingkungan tapi berada di persimpangan keduanya. Mengatasinya memerlukan solusi terpadu yang melindungi kesehatan masyarakat dari sumbernya," kata Shu.

Mari berkontribusi langsung dalam upaya mencegah dan mengatasi masalah STUNTING di Indonesia. Ikut berdonasi dengan klik Kompas.com Jernih Berbagi.

Artikel ini merupakan bagian dari Lestari KG Media, sebuah inisiatif untuk akselerasi Tujuan Pembangunan Berkelanjutan. Selengkapnya

A member of


Terkini Lainnya
Manfaatkan Pangan Lokal, Sup Matahari Jadi Menu Favorit Atasi Stunting di Ngawi
Manfaatkan Pangan Lokal, Sup Matahari Jadi Menu Favorit Atasi Stunting di Ngawi
LSM/Figur
Pertamina Lirik Tebu jadi Bahan Baku Bensin Nabati
Pertamina Lirik Tebu jadi Bahan Baku Bensin Nabati
BUMN
BRIN Dorong Pengembangan PLTSa untuk Tangani Sampah di Wilayah 3T
BRIN Dorong Pengembangan PLTSa untuk Tangani Sampah di Wilayah 3T
Pemerintah
Menteri LH Perkuat Penegakan Hukum Kasus Karhutla
Menteri LH Perkuat Penegakan Hukum Kasus Karhutla
Pemerintah
BMKG Sebut Hujan Bakal Melanda hingga 20 April, Ini Wilayah yang Harus Waspada
BMKG Sebut Hujan Bakal Melanda hingga 20 April, Ini Wilayah yang Harus Waspada
Pemerintah
Waste4Change: Produksi Sampah Nasional Per Hari Setara 12 Candi Borobudur
Waste4Change: Produksi Sampah Nasional Per Hari Setara 12 Candi Borobudur
LSM/Figur
Pangkas Emisi, Perusahaan Logistik Global Beralih ke Avtur Ramah Lingkungan
Pangkas Emisi, Perusahaan Logistik Global Beralih ke Avtur Ramah Lingkungan
Swasta
Gas Metana di Atmosfer Melonjak Dalam 4 Tahun, Tertinggi pada 2021
Gas Metana di Atmosfer Melonjak Dalam 4 Tahun, Tertinggi pada 2021
LSM/Figur
Minim Aksi Iklim, Pendapatan Rata-Rata Masyarakat Dunia Diprediksi Turun 15 Persen
Minim Aksi Iklim, Pendapatan Rata-Rata Masyarakat Dunia Diprediksi Turun 15 Persen
Pemerintah
ISO Perbarui Standar Utama Manajemen Lingkungan
ISO Perbarui Standar Utama Manajemen Lingkungan
Swasta
Dosen Unej Teliti Tanaman Zaman Prasejarah di Geopark Ijen
Dosen Unej Teliti Tanaman Zaman Prasejarah di Geopark Ijen
LSM/Figur
Krisis Selat Hormuz, FAO Ingatkan Bahaya Inflasi Pangan Global
Krisis Selat Hormuz, FAO Ingatkan Bahaya Inflasi Pangan Global
Pemerintah
KKP Tak Tenggelamkan Kapal Asing Ilegal Seperti Era Susi Pudjiastuti, tapi Diberikan ke Nelayan
KKP Tak Tenggelamkan Kapal Asing Ilegal Seperti Era Susi Pudjiastuti, tapi Diberikan ke Nelayan
Pemerintah
Pakar IPB Beberkan Cara Berantas Lonjakan Populasi Ikan Sapu-sapu
Pakar IPB Beberkan Cara Berantas Lonjakan Populasi Ikan Sapu-sapu
Pemerintah
Kepatuhan Minum Tablet Tambah Darah di Kalangan Remaja Rendah, Ngantuk Saat Jam Pelajaran
Kepatuhan Minum Tablet Tambah Darah di Kalangan Remaja Rendah, Ngantuk Saat Jam Pelajaran
LSM/Figur
Baca berita tanpa iklan. Gabung Kompas.com+
Unduh Kompas.com App untuk berita terkini, akurat, dan tepercaya setiap saat
QR Code Kompas.com
Arahkan kamera ke kode QR ini untuk download app
Baca berita tanpa iklan. Gabung Kompas.com+
Baca berita tanpa iklan. Gabung Kompas.com+
Komentar di Artikel Lainnya
Baca berita tanpa iklan. Gabung Kompas.com+
Close Ads
Bagikan artikel ini melalui
Oke
Apresiasi Spesial
Beli dan kirimkan Apresiasi Spesial untuk mendukung Jurnalisme Jernih KOMPAS.com
Rp
Minimal apresiasi Rp5.000
Dengan mengirimkan pesan apresiasi kamu menyetujui ketentuan pengguna KOMPAS.com. Pelajari lebih lanjut.
Apresiasi Spesial
Syarat dan ketentuan
  1. Definisi
    • Apresiasi Spesial adalah fitur dukungan dari pembaca kepada KOMPAS.com dalam bentuk kontribusi finansial melalui platform resmi kami.
    • Kontribusi ini bersifat sukarela dan tidak memberikan hak kepemilikan atau kendali atas konten maupun kebijakan redaksi.
  2. Penggunaan kontribusi
    • Seluruh kontribusi akan digunakan untuk mendukung keberlangsungan layanan, pengembangan konten, dan operasional redaksi.
    • KOMPAS.com tidak berkewajiban memberikan laporan penggunaan dana secara individual kepada setiap kontributor.
  3. Pesan & Komentar
    • Pembaca dapat menyertakan pesan singkat bersama kontribusi.
    • Pesan dalam kolom komentar akan melewati kurasi tim KOMPAS.com
    • Pesan yang bersifat ofensif, diskriminatif, mengandung ujaran kebencian, atau melanggar hukum dapat dihapus oleh KOMPAS.com tanpa pemberitahuan.
  4. Hak & Batasan
    • Apresiasi Spesial tidak dapat dianggap sebagai langganan, iklan, investasi, atau kontrak kerja sama komersial.
    • Kontribusi yang sudah dilakukan tidak dapat dikembalikan (non-refundable).
    • KOMPAS.com berhak menutup atau menonaktifkan fitur ini sewaktu-waktu tanpa pemberitahuan sebelumnya.
  5. Privasi & Data
    • Data pribadi kontributor akan diperlakukan sesuai dengan kebijakan privasi KOMPAS.com.
    • Informasi pembayaran diproses oleh penyedia layanan pihak ketiga sesuai dengan standar keamanan yang berlaku.
  6. Pernyataan
    • Dengan menggunakan Apresiasi Spesial, pembaca dianggap telah membaca, memahami, dan menyetujui syarat & ketentuan ini.
  7. Batasan tanggung jawab
    • KOMPAS.com tidak bertanggung jawab atas kerugian langsung maupun tidak langsung yang timbul akibat penggunaan fitur ini.
    • Kontribusi tidak menciptakan hubungan kerja, kemitraan maupun kewajiban kontraktual lain antara Kontributor dan KOMPAS.com
Gagal mengirimkan Apresiasi Spesial
Transaksimu belum berhasil. Coba kembali beberapa saat lagi.
Kamu telah berhasil mengirimkan Apresiasi Spesial
Terima kasih telah menjadi bagian dari Jurnalisme KOMPAS.com
Login untuk memaksimalkan pengalaman mengakses Kompas.com
atau